Wood Park Dental
Dr. Jon Skare

Smile Gallery

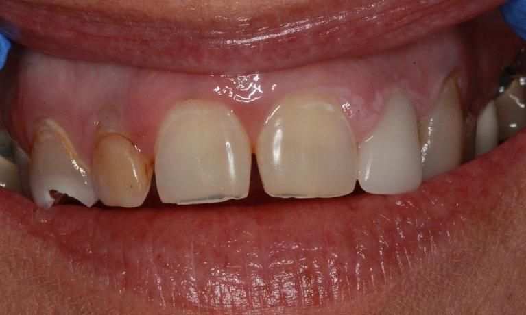
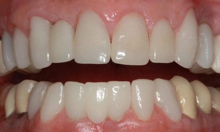
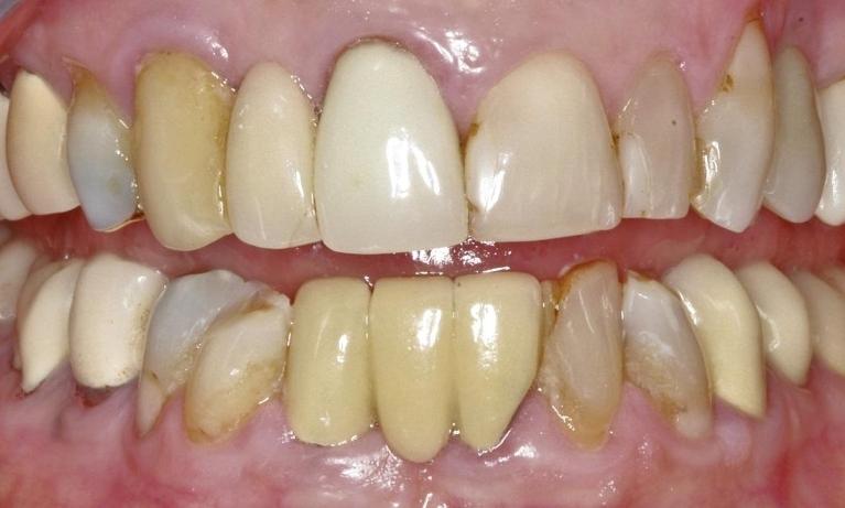
Do you have dental problems like chipped, broken, or missing teeth you'd like to address? Even a minor change like dental bonding can have a dramatic impact on your smile, as you can see from the before and after pictures below! Take a look at some of the smile transformations we've created for our patients, then call us to schedule a dental appointment to get started.

Improve your smile today – call to schedule a consultation!
Thirty plus years of awesome service!

Great service! Great people!

I've been a patient at Wood Park Dental, since it's inception. Thirty plus years of awesome service! They treat you like family.

- Brent Storhaug

If you have difficulty using our website, please email us or call us at (952) 600-2880
View the ADA Accessibility Statement
Privacy Policy