Skip to main content
SureSmile Invisible Braces
Clear Braces Looks Great At Any Age

SureSmile invisible braces are ideal for straightening crooked teeth. This option is popular for adults in order to avoid metal brackets and wires.

Woman holding up SureSmile clear aligners in Eagan MN
Schedule Your Clear Braces Consultation in Eagan!
Make an Appointment

SureSmile Clear Braces in Eagan, MN

Woman with clear braces smiling in Eagan MNAre you an adult who would like to improve your smile with orthodontic treatment? Many adults either didn’t have braces in childhood or did but didn’t wear their retainer as instructed. The result in both cases is crooked or crowded teeth that detract from your smile.

The solution today is easy enough that you don’t have to alter your lifestyle to get the straight smile you want. In as little as 12 months, SureSmile invisible braces straighten your teeth comfortably, and most people won’t notice you’re wearing them. 

SureSmile Fits Into Your Busy Lifestyle

We understand that most adult patients who want straight teeth don’t want to commit to metal braces for many reasons. Similar to Invisalign, treatment with SureSmile aligners in Eagan, MN does away with all of them:

  • No uncomfortable metal: Unlike metal braces that can poke into the cheek and irritate tender tissue in your mouth, Sure Smile aligners are made of smooth, BPA-free plastic.
  • No noticeable treatment: Sure Smile aligners are crystal clear and discreet. Most people won’t notice you’re wearing them!
  • No food restrictions: Metal braces make it difficult or impossible to eat all of the foods you love. Since Sure Smile clear aligners are removable, take them out for meals, and eat whatever you want!
  • Better oral hygiene: Brushing and flossing around metal brackets is a challenge, and the result is usually cavities and gum disease. Since Sure Smile is removable, continue to brush and floss as you typically do.
  • Faster results: Treatment times are unique depending on individual needs. However, they’re generally shorter with clear aligner therapy and can often be completed in as little as a year.

How Clear Braces Work 

Unless you require extensive orthodontic treatment or bite adjustment, SureSmile may be right for you if you have any of the following concerns:

  • Overbite
  • Underbite
  • Open bite
  • Crossbite
  • Crooked teeth
  • Crowded teeth
  • Gaps between teeth

Correcting these problems improves the aesthetics of your smile, but it also helps support better oral health. Trying to brush and floss crooked or overlapped teeth can be all but impossible, which puts you at risk for cavities and gum disease.

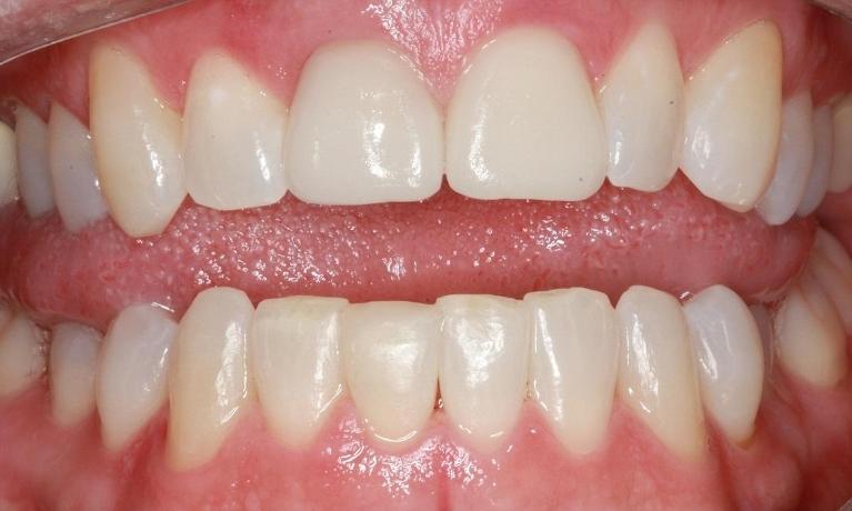
SureSmile clear aligner treatment can help you achieve a healthier and more attractive smile.

Woman putting on SureSmile aligners in Eagan MNThe Process for Getting SureSmile Aligners

The first step is to schedule a dental appointment with Dr. TuAnh Le, so she can evaluate your needs and see if SureSmile is the best bet for you. If so, she will take digital images and x-rays, as well as impressions of your teeth. Dr. Le works with SureSmile software to map out a plan for treatment that shows how your teeth will move.

Based on our specifications, the SureSmile lab customizes several sets of aligner trays that will take you through treatment. We’ll give you two sets at a time, and after you wear one set for two weeks, you’ll swap them out for the other. You will see us every four weeks so Dr. Le can check on your progress and give you your next sets of aligners.

Wear your SureSmile clear aligners for at least 22 hours a day to see the fastest results. Remember that clear braces therapy only works when you wear them correctly!

Schedule A Consultation for SureSmile in Eagan!

Millions of people have improved their smiles with treatments like Sure Smile invisible braces. If you would like to learn more about utilizing clear braces to straighten teeth in Eagan, MN, please contact Wood Park Dental at (952) 600-2880 to schedule an orthodontic consultation.

Thirty plus years of awesome service!

Great service! Great people!

I've been a patient at Wood Park Dental, since it's inception. Thirty plus years of awesome service! They treat you like family.

- Brent Storhaug

Frequently Asked Questions

We use SureSmile aligners in our Eagan, MN dental office, and our patients have been thrilled with their new, straight smiles.

Of course, clear orthodontics are not suitable for everyone. Therefore, before we schedule you for clear aligners treatment, your dentist provides a consultation that includes an exam and conversation with you about your smile objectives.

We want to be sure clear orthodontics is right for you and that the system will correct your orthodontic issues. Your Eagan dentist wants a predictable result that addresses your objectives. And we only move forward with treatment if clear orthodontics will work for you.

At this consultation, your dentist will also let you know how long you’ll be in treatment, and a team member can talk to you about costs.

SureSmile can help with the following orthodontic issues:

  • Crooked, overlapped, or crowded teeth
  • Gaps and unusual spacing between teeth
  • Bite alignment issues, including the overbite

After orthodontic treatment, we provide a clear retainer to maintain your SureSmile results. Wearing your retainer according to your dentist’s schedule plays a vital role in the success of your orthodontic treatment.

For SureSmile in Eagan, MN, Give Wood Park Dental a Call

A team member is standing by to answer your questions or schedule your Sure Smile consultation. We look forward to hearing from you at (952) 600-2880.

SureSmile aligners are a wonderful smile treatment plan that addresses overcrowded, misaligned, or crooked teeth.

At Wood Park Dental, we are always happy to address any questions our patients may have. We hope we can provide some clarification regarding SureSmile clear aligners in Eagan, MN. Our friendly dental team is available to go over any concerns or to clarify further.

Treatment with SureSmile in Eagan

Dental patient holding up tray of ClearCorrect aligners near 55122While invisible braces should never be painful, the transition period may be slightly uncomfortable. Once patients become accustomed to talking with an aligner, the rest of the treatment process should be a breeze.

For most patients, the more they wear aligners, the more comfortable they become. It is easy to adapt to this orthodontic treatment, and speech would rarely be affected for any significant length of time.

SureSmile aligners are known for being comfortable. Since an abrupt change to your teeth can cause discomfort, these clear plastic aligners use slow, gentle steps to correct your smile. Both smile treatment time and comfort are successfully addressed with plastic aligners. 

SureSmile Aligners Are Easy to Keep Clean

Invisible aligners are extremely easy to keep clean; however, gum disease, cavities, or gum inflammation can still occur without proper oral hygiene and regular dental checkups.

Patients can clean aligners with a toothbrush and cold water. We recommend a gentle toothpaste to prevent scratching the plastic coating, which can trap bacteria.

Contact Our Eagan Dentist Office to Get Started with SureSmile!

The treatment process is straightforward. Your dentist fabricates personalized aligner trays based on your current smile and treatment needs. Each aligner set is worn for two weeks before moving on to the next set in the series.

SureSmile is a comfortable, durable, and reliable method to design your perfect smile. Give Wood Park Dental a call today at (952) 600-2880 to arrange a consultation for Sure Smile aligners in Eagan!

Meet Our Doctor:

Dr. TuAnh Le Eagan, MN Dentist

Dr. TuAnh Le DDS, FAGD

"“At Wood Park Dental, we are perfectionists and just want the very best outcome for our patients. The best part though, are the relationships that have formed over years of practice. I love seeing and chatting with patients who are like old friends, and many of their children and grandchildren are now patients as well.”

Dr. TuAnh Le is a Minneapolis native who graduated from the University of Minnesota with a dual degree in Genetics & Cellular Biology and Physiology and minored in Psychology. Her devotion to the community and love ...

Featured Blog Posts - SureSmile Invisible Braces

January 10, 2024

Can Clear Aligners Correct Damage from Bruxism and Teeth Grinding?

Bearded man holding a clear aligners in Eagan MN

SureSmile® clear aligners, a revolutionary orthodontic solution, offer a promising approach to correcting bruxism and teeth-grinding damage. At Wood Park Dental, we're excited to share how clear aligners in Eagan, MN, can help you regain a healthy and beautiful smile while addressing the consequences of bruxism.

What Is Bruxism?

Bruxism can wreak havoc on your oral health. The constant grinding and clenching exert tremendous force on your teeth, resulting in various issues, including:

  • Tooth wear
  • Cracked and chipped teeth
  • Temporomandibular joint (TMJ) disorders
  • Bite misalignment

How SureSmile Clear Aligners Can Help with Bruxism

  • Bite correction
  • Creates a barrier ...
March 30, 2021

SureSmile Means No Metal Braces

Close up of SureSmile clear braces in Eagan MN

Many adults think of metal "train-track" braces when they consider getting their teeth straightened. This used to be the main option for decades, and while they do their job, other options might interest you. SureSmile aligners are a popular, invisible alternative to traditional metal braces. 

The Benefits of Clear Braces

While metal braces and SureSmile both do a great job in straightening teeth, there are some advantages SureSmile have over their traditional counterpart, including:

SureSmile is Invisible and Discreet

By far, the most beloved and attractive aspect of SureSmile is its intangible nature. ...

Are Clear Braces the Right Choice for You?
Call to Learn More