Wood Park Dental
Dr. Jon Skare

Full Smile Makeover (Clear Braces, Crowns, Whitening & Fillings)

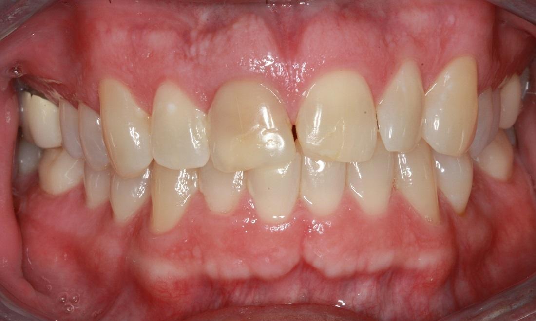
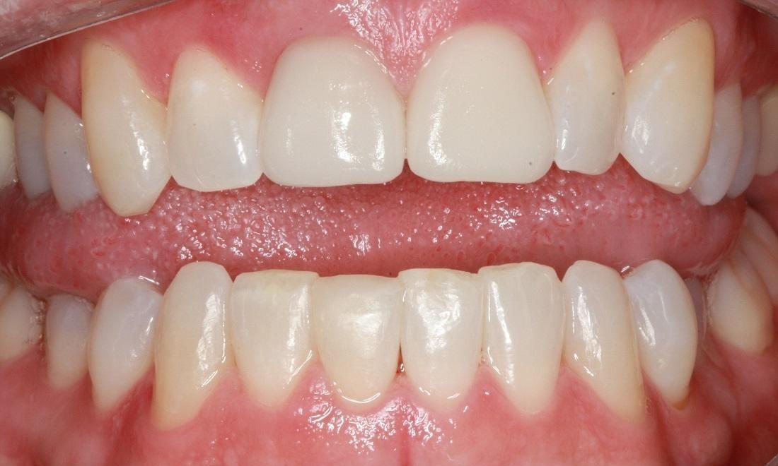
This patient came to Wood Park Dental with concerns about the color of their teeth and the alignment. We did a full smile makeover that included the patient getting dental crowns, invisible braces, teeth whitening, and natural tooth-colored fillings.

Full Smile Makeovers in Eagan, MN

This patient used a total of four procedures to achieve the smile they wanted. With various cosmetic dental options, we can find one or multiple ones that suit you best. For crooked teeth, Sure Smile aligners are great, especially if you are at an age where metal brackets are not a preferred option. Stains can be fixed with teeth whitening, crowns, veneers, or tooth-colored fillings.

Schedule A Cosmetic Consultation at Wood Park Dental

Our team is here to help you achieve the smile you want. You can schedule an appointment through our contact page at any time. Or schedule at (952) 431-5088 during regular business hours.

Related Services:

SureSmile Invisible Braces
Getting an appointment is fast and easy!
If you have difficulty using our website, please email us or call us at (952) 600-2880
View the ADA Accessibility Statement